症状別
下顎前突2 syourei detail
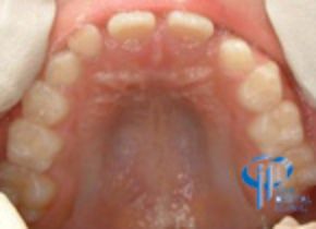
治療前
小児期の歯性の下顎前突ケースです。
下顎前突の兆候が認められた場合、早期の処置が求められます。
骨格性に移行することを回避するために被蓋(前歯の咬み合わせ)を
改善することがとても重要な処置です。
上顎の中切歯2本が反対咬合です。また、正中が右側へずれています。
下顎歯牙の正中が顔貌の正中と一致しています。
治療中
上顎骨自体の劣成長是正のためまず、前歯部分の側方への拡大を行いました。
上下の正中が一致するところまで側方拡大した後、右側中切歯を左側へ移動させて、上下の正中を一致させました。
上下の正中が一致し、右上側切歯の萌出を待っているところです。
下顎については、前方への過成長防止、前歯部の空隙閉鎖のため、床装置を装着、唇側のワイヤーの力で舌側(後方)へ押しました。
治療後
上下4前歯計8本を正常な咬合にすることにより、歯性から生じた下顎前突の問題は解消されました。
今後、骨格性の問題が発症しないか、経過観察は必要です。
| 治療内容 |
8才男性 上顎前歯の前方移動を可撤式装置で行い、正常被蓋を獲得した |
|---|---|
| 費用 |
300,000円(税別) |
| 期間 |
10ヶ月 |
| リスク |
保険適応の治療に比較し治療費が高額になります。 |


























