目立たない矯正
透明トレーによる矯正1 syourei detail
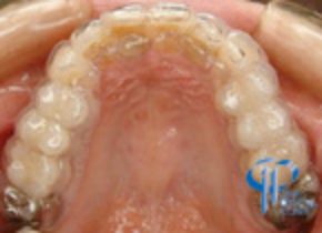
治療前
透明トレーを使った矯正治療には、多くの利点があります。大きな歯牙の移動はできませんが、固定式の装置と組み合わせるなどのコンビネーション的な使用法も可能です。
下記の方は、上顎の前歯のガタガタを治したいことを主訴に来院されました。
初診時には、上下顎中程度の叢生が認められました。ご本人の希望は、上顎の前歯だけきれいにしたい、とのことでした。
治療中
入っているので、透明トレーを使用して、前方へ押し出して、 がたがた感(叢生)を治すことのみを計画しました。
透明トレーを装着して治療を開始したところです。目立たないのは当然として、 衛生的であること、取り外して食事ができるなどの利点があり、 装着時間さえ守って頂ければ歯牙は移動していきます。
治療後
治療経過写真のように、主訴である上顎前歯部の叢生は改善され、ご本人の満足度は十分得られました。
透明トレーでの治療の場合、適応症を如何に見極めるか?が最大のポイントです。歯科医の知識、経験によるところが大きいです。
- 治療前
- 3ヵ月後
- 6ヵ月後(治療終了)
- 治療前
- 治療終了
| 治療内容 |
40才女性 上顎の軽度叢生に対して |
|---|---|
| 費用 |
240,000円(税別) |
| 期間 |
6カ月 |
| リスク |
保険適応の治療に比較し治療費が高額になります。 |





















